Bolečine v zobeh lahko kažejo na kakšne resne težave. Eden izmed vzrokov je pa lahko tudi okužena zobna korenina oziroma vršiček le te. Apikotomija je kirurški poseg, ki lahko te težave odpravi, saj okužen del odstranijo in tako se lahko …
Kakovostna izgradnja sončna elektrarna se izjemno splača
Izgradnja sončna elektrarna na mestu, kjer je dosti sonca, je zelo racionalna in smiselna, saj boste pridobili veliko lastne samooskrbne elektrike, i jo bose lahko udi oddajali v javni sistem. Pri em pa boste pridobili še subvencijo države in investicije …
Uzroci upale zubnog mesa
Naše oralno zdravlje je veoma važno, a upala zubnog mesa postaje sve češći i češći razlog posjete zubnoj ordinaciji. Ukoliko želite znati više kada je u pitanju upala zubnog mesa – više informacija možete pronaći u nastavku.

Sama upala zubnog …
Ko so odločate za hiter tisk letakov, le te prejmete že naslednji dan
Letake in ostale promocijske materiale, si danes lahko pripravite za boljšo prepoznavnost, vašega dogodka, podjetja lahko tudi artikla. Letake lahko natisnete v želelni količini, obliki, barvni lestvici, ki jo želite kadarkoli tekom dneva. Pri manjših nakladah, lahko vaše sveže letake …
Laminat – podloga broj 1 u svijetu!
Prilikom vaše potrage sa savršenom podnom podlogom, vjerovatno ste došli na zaključak da je laminat pravi izbor za vas. U nastavku donosimo više informacija o tome šta čini laminat visoke kvalitete te kako ga prepoznati prilikom kupovine.
Laminat se prilikom …
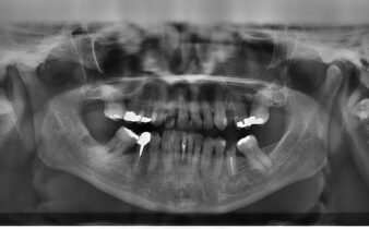
Ortopan
Slikanje zob, oziroma ortopan je potreben, pred določenimi posegi v zobozdravstvu. Na podlagi slike vam zobozdravnik oceni stanje zob, zgornje in spodnje čeljusti, ter zobnih korenin in celo zobno strukturo. Ponavadi vam izdelajo ortopan pred ruvanjem modrostnega zoba, ali pred …
Razlogi za neplodnost
Skoraj vsaka si želi nekoč postati mama oziroma imeti otroke. Seveda pa si nobena ne predstavlja, da je pa mogoče neplodna. To je lahko še kako boleče za njo, ko to izve. Razlogi za neplodnost so različni. Ampak, ko izveste …
Prikupne mize za terase in vrtove
Če imate doma teraso, ki popolnoma sameva, je čas, da nanjo postavite primerno pohištvo. To vam bo omogočilo, da se boste lahko v toplejšem času v miru zleknili na stol ali na sedežno ali se prijetno družili s prijatelji in …
Zunanji trdi disk
Na računalnikih, telefonih in še marsikje drugje imamo veliko slik in drugih dokumentov. Nesreča pa nikoli ne počiva in kar hitro se nam to lahko izbriše. Prav tako pa hitro zmanjka prostora, datotek pa nočemo izbrisati. Ravno tukaj pa nam …
Adoor garažna vrata pri vas doma
Adoor garažna vrata se navadno največkrat uporabljajo pri nekaterih večjih firmah ali pa morda celo v gospodarskih oddelkih. Takrat potrebujemo hitre se odpirajoča vrata. Adoor garažna vrata vam bodo bila še kako prav, kadar boste imeli nekje zelo veliko odprtino …









